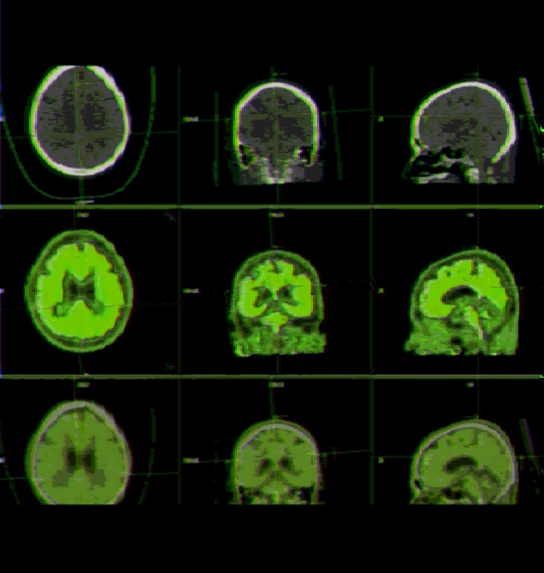
Brain data has been collected. Images of my fMRI, MRI and EEG are pictured above.
Data will be fed into training data of the AI, as well as used as a base brain. In layman's terms, the AI will build itself upon the simulated scaffolding of my brain.

> NEXT PAGE